Το κάταγμα κόπωσης είναι ένα ράγισμα του οστού και είναι πολύ συνηθισμένος τραυματισμός κατά την εντατική άθληση.
Τα κατάγματα αυτά είναι επώδυνα και πολύ συχνά θεραπεύονται μόνα τους με την ξεκούραση μερικών μηνών. Αυτός ο πόνος επικεντρώνεται γύρω από την περιοχή του κατάγματος και επιδεινώνεται κατά την άσκηση, περπάτημα και στάση. Ακόμα μπορεί να δημιουργηθεί πρήξιμο.
Στα κάτω άκρα, τα κατάγματα είναι πιο συνηθισμένα:
- στα μετατάρσια
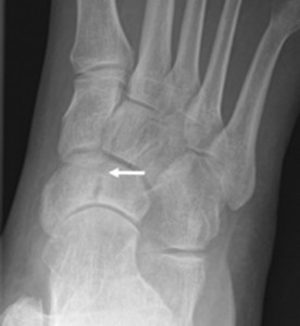
- στο σκαφοειδές οστό
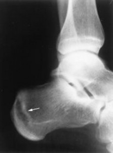
- στην πτέρνα
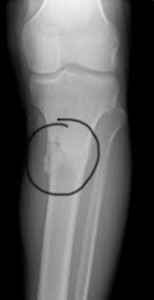
- στην κνήμη
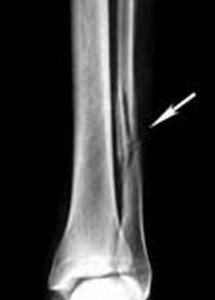
- στην περόνη και
- στο μηριαίο οστό
Συμπτώματα κατάγματος στα μετατάρσια
Τα κατάγματα στα μετατάρσια επηρεάζουν σημαντικά την βάδιση και στάση. Ο πόνος γύρω από την τραυματισμένη περιοχή είναι πολλές φορές οξύς και πολύ συχνά έχουμε την εμφάνιση πρηξίματος, οιδήματος και ερυθρότητας.

Συμπτώματα κατάγματος στο σκαφοειδές οστό
Στο κάταγμα του σκαφοειδούς σπάνια υπάρχει πρήξιμο. Οι περισσότεροι ασθενείς που παρουσιάζονται με κάταγμα σκαφοειδούς παραπονιούνται για ένα θρομβώδη πόνο στο εσωτερικό άκρο του ποδιού, ο οποίος αυξάνεται κατά την άσκηση και ελαττώνεται με ξεκούραση χωρίς να υποχωρεί τελείως.

Συμπτώματα κατάγματος στην πτέρνα
Τα κατάγματα της πτέρνας είναισ πάνια. Οι ασθενείς που παρουσιάζονται με κάταγμα της πτέρνας, οι οποίοι είναι συνήθως αθλητές, στρατιώτες και μπαλαρίνες, παραπονιούνται για πόνο στο εσωτερικό και εξωτερικό μέρος της πτέρνας, ο οποίος αυξάνεται σημαντικά κατά την άθληση και πολύ συχνά καθιστά το περπάτημα αδύνατο. Ακόμα υπάρχει αυξημένος πόνος κατά την νύχτα.

Συμπτώματα κατάγματος της κνήμης
Ασθενείς με κάταγμα της κνήμης παραπονιούνται για αυξανόμενο πόνο στην έσω περιοχή της κνήμης. Ο πόνος είναι συνήθως οξύς και απότομος, αυξάνεται κατά την κρούση και ελαττώνεται με την ανάπαυση. Σε προχωρημένο στάδιο, ακόμα και η βάδιση επιδεινώνει την κατάσταση. Ακόμα, πολύ συχνά το κάταγμα της κνήμης παρουσιάζεται σαν πόνος στο πίσω μέρος της κνήμης (γαστροκνήμιο) ή στην πρόσθια επιφάνεια της κνήμης αντί για το εσωτερικό.

Συμπτώματα κατάγματος της περόνης
Συμπτώματα στην περόνη περιλαμβάνουν τοπική υπερευαισθησία και πόνο που εντείνεται προς τα κάτω κατά την βάδιση αλλά δεν είναι όσο επίπονα όσο τα συμπτώματα κατάγματος της κνήμης.

Συμπτώματα κατάγματος του μηριαίου οστού
Οι περισσότεροι ασθενείς με κάταγμα του μηριαίου αισθάνονται πόνο στο πρόσθιο μέρος της βουβωνικής χώρας κατά την στάση και κίνηση. Η βάδιση είναι εξαιρετικά δύσκολη και η άσκηση σχεδόν πάντα είναι αδύνατη. Τα περισσότερα κατάγματα του μηριαίου, χρειάζονται χειρουργική επέμβαση.

Αντιμετώπιση
Η αντιμετώπιση των καταγμάτων σε όλες τις παραπάνω περιπτώσεις συμπεριλαμβάνει μερική ή απόλυτη ανάπαυση. Αυτό εξαρτάται από το οστό ή τα οστά που έχουν τραυματιστεί και το στάδιο τραυματισμού στο οποίο βρίσκονται. Η δραστηριότητα η οποία είναι η αίτια των παραπάνω πρέπει να αποφεύγεται ή να ελαττώνεται δραστικά για την αποφυγή περαιτέρω προβλημάτων. Οι αθλητές που επιθυμούν να κρατήσουν τη φυσική τους κατάσταση μπορούν να λαμβάνουν μέρος σε αθλητικές δραστηριότητες χαμηλής κρούσης όπως η κολύμβηση, ποδηλασία και τρέξιμο μέσα στο νερό. Και πάλι βέβαια εξαρτάται από τα τραυματισμένα οστά και το στάδιο επούλωσης. Σε κάποιες περιπτώσεις, οι πατερίτσες βοηθάνε στην επούλωση ελαττώνοντας το βάρος κατά τη βάδιση, σε συνδυασμό με αντιφλεγμονώδη φάρμακα από τον γιατρό.
Τα κατάγματα κοπώσεως μπορεί να είναι δύσκολα στην αντιμετώπιση ιδιαίτερα στον επαγγελματία αθλητή και τους ηλικιωμένους.
Ο ποδίατρος είναι ο ειδικός για τον εκάστοτε ασθενή αν έχει ανάγκη από εξειδικευμένα ορθωτικά πέλματα, τα οποία θα βοηθήσουν ελέγχοντας μακροχρόνια την κατάσταση του ασθενούς. Ο ποδιατρος έχει έναν εξαιρετικά σημαντικό ρόλο να παίξει στην αντιμετώπιση προβλημάτων στα κάτω άκρα όπως επίσης σημαντική είναι και η δράση για την αντιμετώπιση από το μέρος του ασθενούς. Προβλήματα που δεν αντιμετωπίζονται, μπορεί να έχει ως αποτέλεσμα μεγάλα προβλήματα υγείας.







