Ορισμένες φορές, η οστεοαρθρίτιδα γόνατος παρουσιάζεται ως συνέπεια άλλων νόσων που προσβάλλουν τις αρθρώσεις, όπως ρευματοειδής αρθρίτιδα, αγκυλοποιητική σπονδυλίτιδα, ψωριασική αρθρίτιδα κ.λπ.
Στα αρχικά στάδια της νόσου, ο ασθενής πονά έπειτα από περίοδο ακινησίας, όπως μετά τον ύπνο και ο πόνος υποχωρεί με την κίνηση. Με την πάροδο του χρόνου ο πόνος γίνεται συνεχής, ενώ μειώνεται το εύρος κίνησης της άρθρωσης.
Διάγνωση
Η διάγνωση της πάθησης γίνεται από τον ορθοπαιδικό ιατρό με την κλινική εξέταση, με ακτινογραφίες που γίνονται σε όρθια θέση και μερικές φορές με μαγνητική τομογραφία και εξετάσεις αίματος.
Θεραπευτική Αγωγή
Στα αρχικά στάδια, ένα απλό αναλγητικό, όπως η ουσία παρακεταμόλη, είναι αρκετό για την ανακούφιση των συμπτωμάτων. Στη συνέχεια χρησιμοποιούνται αντιφλεγμονώδη που έχουν πιο ισχυρή δράση, αλλά σε μακροχρόνια χρήση έχουν παρενέργειες. Στη θεραπευτική αντιμετώπιση της νόσου και εάν υπάρχει μείωση της κινητικότητας, συνιστάται κινησιοθεραπεία της συγκεκριμένης άρθρωσης, με προτεινόμενη άσκηση, το κολύμπι. Τα σκευάσματα αυτά κατατάσσονται στη νέα κατηγορία των χονδροπροστατευτικών/αναπλαστικών και λαμβάνονται σε συνδυασμό, είτε μόνα τους, είτε εναλλάξ. Πρόκειται για τις δραστικές ουσίες γλυκοζαμίνη και διασερεΐνη, που μπορεί να δοθούν για μεγάλο χρονικό διάστημα, χωρίς ιδιαίτερες παρενέργειες, εάν ο ασθενής ανταποκριθεί θετικά στη δράση τους.
Παράλληλα με τις ουσίες αυτές, οι ορθοπαιδικοί ιατροί έχουμε στη διάθεσή μας, πλέον, ένα νέο φάρμακο, που έχει αλλάξει σημαντικά την πορεία της οστεοαρθρίτιδας. Οι εγχύσεις με υαλουρονικό οξύ μπορεί να επιφέρουν σημαντική μείωση ή και εξάλειψη του πόνου, για μεγάλα χρονικά διαστήματα. Επίσης χρησιμοποιούνται νέες θεραπείες (εγχύσεις κολαγόνου, προλοθεραπεία,, αυτόλογοι βιολογικοί παράγοντες prp) με πολύ καλά αποτελέσματα. Γίνονται σε 3-5 δόσεις.

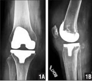
Η χειρουργική αντιμετώπιση περιλαμβάνει τον αρθροσκοπικό καθαρισμό της άρθρωσης, που μπορεί να καθυστερήσει την αρθροπλαστική για μερικά έτη, και εφαρμόζεται με τοπική αναισθησία , ανώδυνα χωρίς να χρειάζεται νοσηλεία στο νοσοκομείο (day surgery).. Η οριστική χειρουργική αντιμετώπιση της οστεοαρθρίτιδας του γόνατος γίνεται με την ολική αρθροπλαστική, κατά την οποία αφαιρούνται τμήματα της άρθρωσης που είναι κατεστραμμένα από την οστεοαρθρίτιδα και αντικαθίστανται με τεχνητή άρθρωση, φτιαγμένη από συνθετικό υλικό.







